各位小伙伴,前面几期向大家讲述了病理科医生显微镜下的精彩世界,通过显微镜,大家看到了显微镜下“色彩斑斓”的影像。但是,在显微镜下,除了满园春色,风和日丽,还充满着暗潮涌动,危机四伏。今天我们就来了解一下病理人的一次“大海捞针”。
话说这是一位三十多岁的女性朋友,近期总感觉到胃有点不舒服,这天她来到医院,医生检查后建议她做了胃镜,并取了一块小组织进行活检。这块组织送到了病理科,经过取材、包埋、切片、染色等,做成了显微镜下可以观察的病理片,下面就让我们看看显微镜下的表现吧。

显微镜下只有这么一点组织,低倍镜下看着好像问题不大

放大一点看看

再放大一点

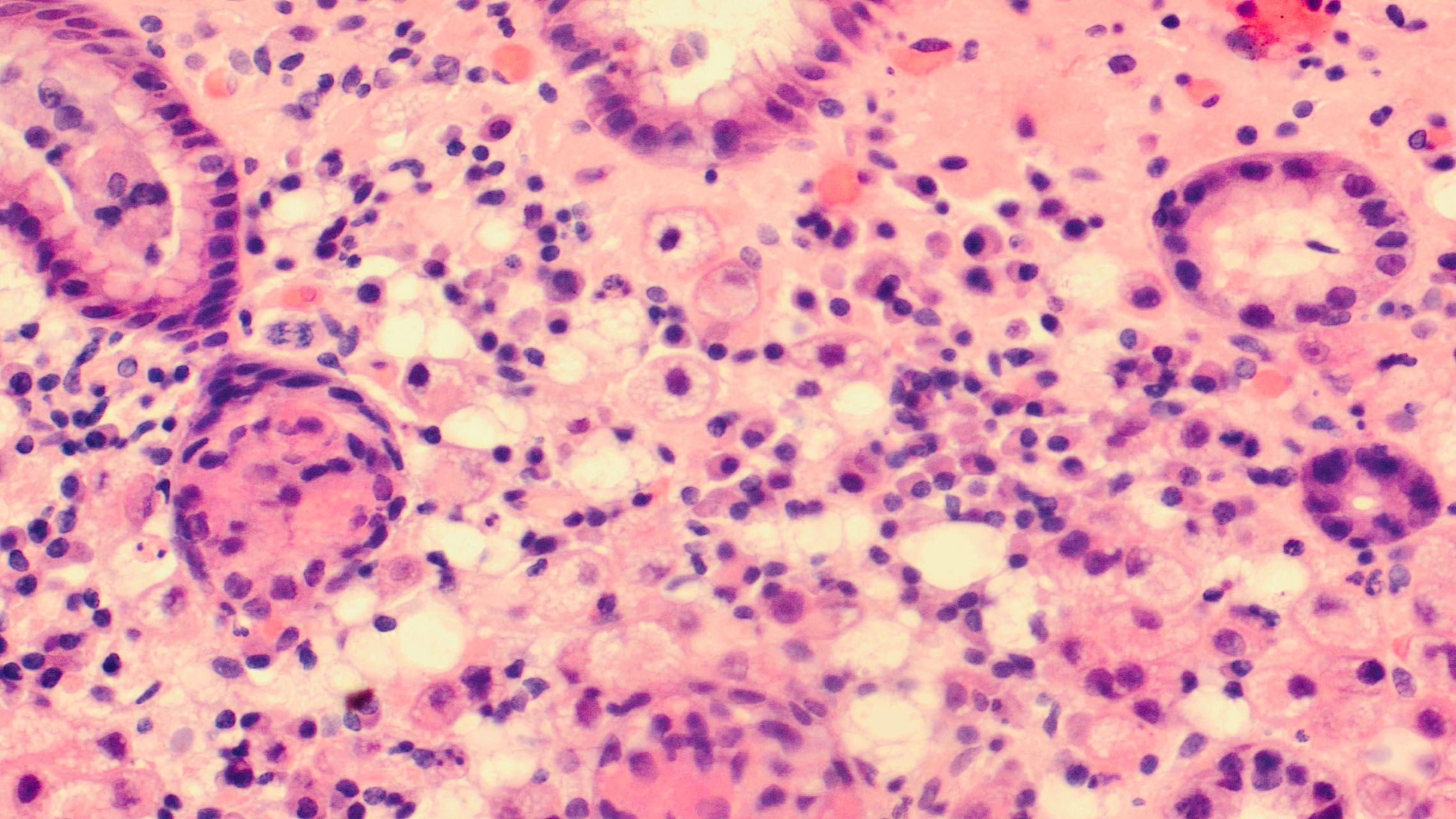
继续放大

等等、等等。。。这是什么?浆细胞?组织细胞?印戒细胞?

印戒细胞是这样的

组织细胞是这个样子
病理科医生觉得都不像啊,怎么办?做免疫组化标记一下吧!
经过免疫组化,怀疑的细胞上皮标记物被标记出来了,最后诊断:胃低分化腺癌,后来手术标本全部的病灶只有1CM !
总结:在这一例病例的分析诊断过程中,病理人就像在大海里捞针,凭着职业的敏感性与专业精神,不放过一丁点可疑的蛛丝马迹,对显微镜下可能存在的病变,“打破砂锅问到底”,必须想尽各种办法看清楚、诊断清楚,为临床提供精确的诊断依据,为患者朋友提供及时治疗的可能性。