2023年7月18日血管介入科完成首例CT引导下肺恶性肿瘤射频消融术。该手术不用开刀,皮肤仅有针眼大小的穿刺针孔,术后反应轻微,恢复快,住院时间短,且与外科手术切除疗效类似,同为肿瘤根治性治疗,是肺肿瘤综合治疗不可或缺的手段之一。
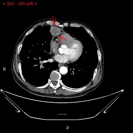
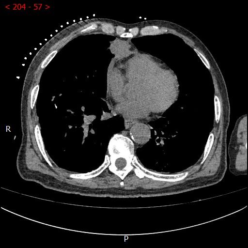
术前影像


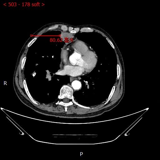
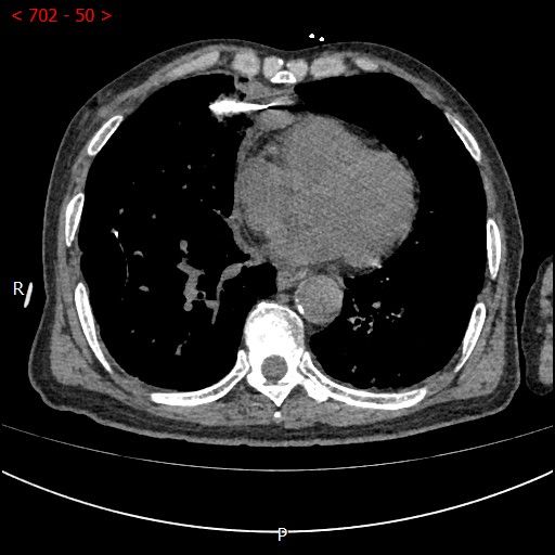
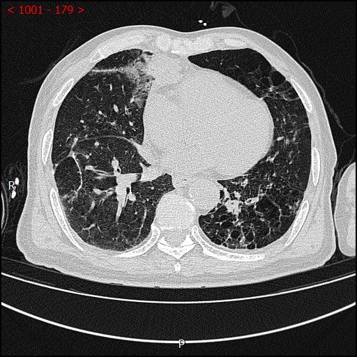
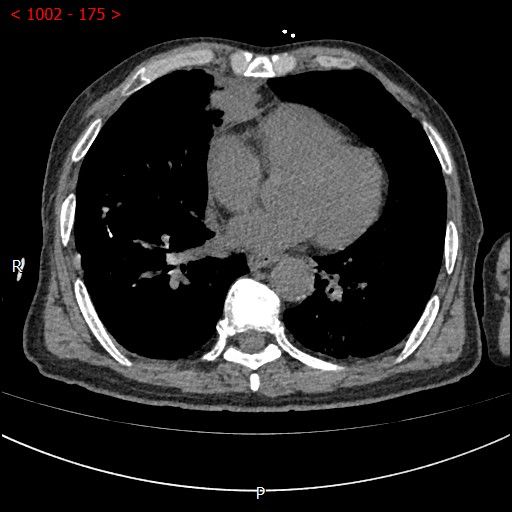
男性患者,68岁,检查发现右肺中叶肿块,大小约3.5cm×2.4cm,因患者有慢性支气管炎、肺气肿、肺大泡,基础病较多,无法耐受常规外科手术治疗;经与患者本人及家属多次沟通。血管介入科团队根据患者具体情况决定对该患者施行CT引导下肺肿瘤射频消融术。经全科术前讨论:肿瘤位置毗邻心脏、纵膈、胸膜多处重要器官,手术要求穿刺精准,消融位置精确,尽量避免恶性心率失常,心脏包膜、胸膜、纵膈损伤。经过前期的精心术前准备,2023年7月18日,在血管介入科团队和CT室默契配合下,此次射频消融手术顺利完成。手术全过程仅用时约40分钟,其中消融时间约5分钟。CT观察下见肿瘤形变,周围肺组织呈现“晕”征,提示本次消融范围基本覆盖全肿瘤。术中患者无疼痛并且未产生并发症。本次手术达到杀死肿瘤细胞的同时,最大限度的减少创伤、保留肺组织。

术中影像






科 普
CT引导下射频消融是近年来快速发展起来的精准超微创治疗手段。在CT影像定位引导下将特制的消融电极针精准穿刺插入肿瘤的核心部位,通过射频发生器输出的射频电流使病变区域的组织细胞极性分子和离子震荡摩擦,继而转化为热能,使瘤体逐渐加热至90℃以上来杀灭肿瘤,最后肿瘤细胞脱水、凝固、变性、坏死,肿瘤组织完全毁损,直至形成液化灶被机体吸收纤维化,达到不用开刀消除实体肿瘤的目的。
主要适应症:1.因心肺功能差或高龄不能耐受或不愿行手术切除的有恶性征象的肺结节及肺癌患者。2.某些生物学特征显示预后较好的肺部转移瘤(如乳腺癌、肉瘤、肾癌、结直肠癌和肝细胞肝癌等引起的转移)。3.晚期肿瘤患者的姑息性消融可最大限度缓解肿瘤引起的症状和改善患者生活质量,并尽可能延长生命。
不开刀而“洞见肺腑”,对患者进行更微创、超精准的治疗将是肿瘤介入治疗的发展方向。此例手术的成功开展充分体现了我院血管介入科团队在精准诊疗领域的创新思维和综合实力。