4月26日,10:47分:59岁男性王某,以“意识障碍40分钟”入我院,专科查体可见患者呈昏睡状态,反应迟钝,吐字不清,双眼向右凝视,四肢肌力5-级,NIHSS评分7分。
卒中中心迅速反应,启动绿色通道。急诊头颅CT可见脑干梗死灶。患者在静脉溶栓时间窗内,急诊行静脉溶栓,同时急诊头颅MRA可见基底动脉闭塞,DWI上还尚未显影。如果救治不及时,基底动脉闭塞很可能引起脑干、小脑大面积脑梗死从而危及生命。

急诊头颅DWI梗死灶还尚未显影

急诊头颅MRA基底动脉、右侧椎动脉未见显影,考虑闭塞。
12:26分:急性脑梗死、基底动脉闭塞诊断明确后,卒中介入小组急诊完成全脑血管造影术+右侧椎动脉取栓术+基底动脉球囊扩张术+基底动脉支架植入术。全程进展顺利,入院到基底动脉再通时间为73分钟。

脑血管造影可见基底动脉闭塞

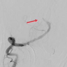
右侧椎动脉取栓后可见基底动脉“线样征”。

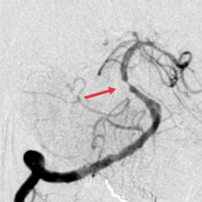
行基底动脉球囊扩张术+基底动脉支架植入术后,基底动脉开通。

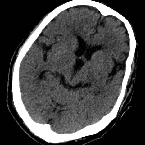
术后头颅ct未见出血。
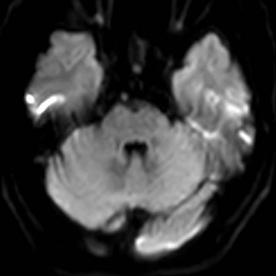
术后第三天头颅DWI可见脑干、小脑双侧半球多发急性梗死灶显影,若基底动脉不能及时开通,后果不可想象。

行基底动脉球囊扩张术+基底动脉支架植入术后,基底动脉开通。
术后患者临床症状持续好转,4月30日患者神志转清,可自行缓慢行走,NIHSS评分2分。

术后患者恢复良好,发作性眩晕伴言语含糊未再发作。
基底动脉是颅内供血非常重要的一根血管,负责供血脑干、小脑等重要脑组织。如果基底动脉出现狭窄甚至闭塞,会出现头晕、恶心、呕吐、行走不稳,严重时出现意识障碍等致命性危害。
对于极重度的基底动脉狭窄或者闭塞,药物治疗已经不能满足脑灌注需求,需要通过介入治疗来改善循环,介入取栓和血管成形术(包括球囊扩张和支架置入)可以改善血管狭窄、闭塞等症状,能够快速缓解病情。这些技术在我科已广泛开展,将在以后的诊疗中为更多患者带来福音。