神经外科值班医生王振华接到急诊电话,送来一位前一天摔倒,4小时前出现意识障碍的病人。通过询问病史,患者前一天有过自行摔倒,头部没有直接受到撞击,没有明显的头皮血肿、擦伤等头部外伤表现,患者却在摔倒后有头疼的情况,因未及时就医,直到4小时前出现呼之不应,意识不清才送来就医。
立即行CT检查


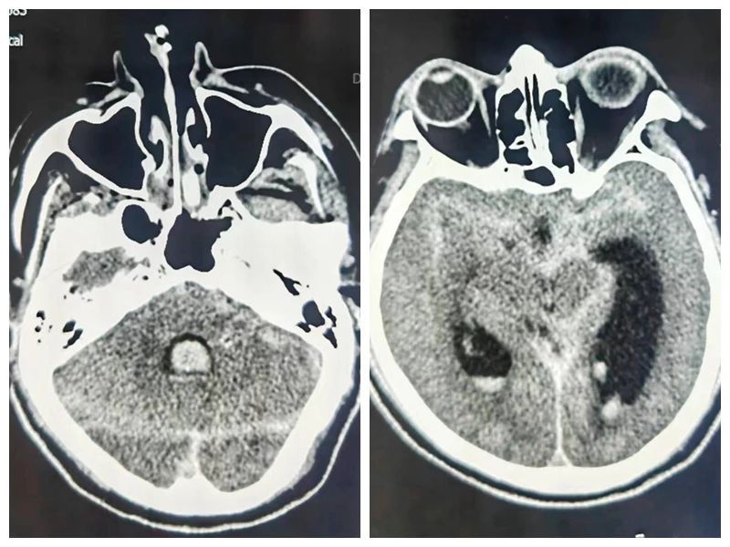
患者头颅CT可见广泛的蛛网膜下腔出血及脑室积血
在没有头部外伤史的情况下,自发性蛛网膜下腔出血中50-80%是颅内动脉瘤这个颅内“炸弹”破裂造成的。入院后王振华主治医师立即给病人做了脑DSA检查。

一颗“桃心炸弹”长在了患者左侧小脑后下动脉延髓背侧段。虽然不大,但是已经破裂的动脉瘤随时面临着再次破裂出血的风险,而颅内动脉瘤再次出血的死亡率可达50%左右。
经介入血管内动脉瘤栓塞治疗,手术过程顺利,动脉瘤栓塞彻底,载瘤动脉术后血运通畅。

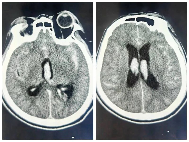
在刘展会主任“一站式”破裂动脉瘤治疗理念的指导下,术后立即为患者行脑室外引流,尽快将脑室积血、蛛网膜下腔出血引流出来。术后病人很快恢复了意识,一周后脑室积血及蛛网膜下腔出血基本清除,继续康复治疗。


这个病例告诉我们,突发头痛,持续不缓解,还伴有高血压、高血脂、糖尿病等基础疾病,一定要注意,请及时就医。