很多家长都遇到过这种情况:孩子反复腹痛,疼痛大多以脐周为主,时重时轻。带孩子去医院就诊,医生往往建议行腹部超声检查,很大一部分超声报告是这样的:肠系膜淋巴结肿大。临床输液治疗几天腹痛缓解了,没过久又再次出现腹痛,反反复复。那么,淋巴结炎到底是怎么回事呢?

首先,我们需要了解什么是肠系膜淋巴结。

肠系膜淋巴结是人体的一个重要免疫器官,每个人的肠系膜本身都存在着丰富的淋巴结,尤其在回肠末端及回盲部,这是淋巴结分布的主要部位。所以腹痛的部位一般位于脐周和右下腹。当患儿出现呼吸道疾病、食物不耐受、过敏以及积食受寒等,会刺激肠系膜淋巴结肿大,引起腹痛,发热,恶心呕吐,又是伴有腹泻或便秘。
肠系膜淋巴结炎国内常用的临床诊断标准是:①上呼吸道感染或肠道感染史;②发热、腹痛、呕吐、腹泻或便秘;③腹痛发作间歇期多数患儿感觉良好,经解痉、驱虫、保护胃黏膜治疗无效;④腹痛以右下腹及脐周多见,部位不固定;⑤白细胞计数正常或轻度升高;⑥腹部彩色多普勒超声检查证实。

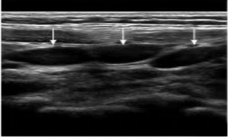
肠系膜淋巴结(箭头所指)
由此可见,超声在肠系膜淋巴结炎诊断中占有很重要的地位,它因无创伤且无辐射等优势,已成为临床不可或缺的检查手段。
那么,检查前家长需要做哪些准备呢?首先,安抚患儿情绪;较小的婴幼儿科提前准备安抚奶嘴等,较大的患儿提前沟通,减少患儿对超声检查的恐惧,减少患儿哭闹;再者,消化系统检查原则上需要空腹;考虑到儿童的特殊性,一般对新生儿及小婴儿禁食3-4小时,幼儿4-6小时,年长儿6-8小时,最好也不要喝水。
西安市第九医院超声医学科是陕西省级临床医学影像重点专科,国家住院医师规范化培训超声医学基地,西安医学院研究生联合培养基地,陕西省超声联盟单位,是医院集医、教、研为一体的重要科室。科室技术力量雄厚,诊疗经验丰富,设备先进,拥有十余台高中档彩色多普勒超声诊断仪,如美国GEViviDE9、荷兰飞利浦EPIC5、西门子S2000等。

科室以“精湛的技术让患者放心,优质的服务让患者满意!”为宗旨,在郝霁萍主任的带领下,科室业务开展全面,包括超声诊断及超声治疗,以及近年来重点开展的超声造影、经食道超声、弹性成像、肿瘤微波治疗等新技术,在市级医院处于领先水平。
地址:西安市第九医院超声医学科(门诊二楼)
联系电话:029-61166483