西安市第九医院心血管病院在介入导管室、超声医学科、麻醉科、CT/MRI室的协作下,为三例均为栓塞与出血高评分,同时预期房颤有复发可能仍需要长期抗凝的患者,进行房颤冷冻消融+左心耳封堵“一站式”介入手术。
房颤的治疗方法主要是抗凝治疗、频率控制、节律转复与维持治疗。转复治疗,即将房颤律转为窦性心律,包括房颤的药物转复治疗、房颤的电复律治疗、及房颤的导管消融治疗。对于持续性房颤及难以转复窦律或转复后难以维持窦性心律的患者、有较高栓塞风险者,可考虑行左心耳封堵术。
术前行肺静脉+左心房CTA、食道心房超声排除左心耳血栓,并充分了解左心耳的形态、大小。首先进行全麻,待患者全麻完成后正式开始手术。常规穿刺放标测电极,一次房间隔穿刺成功,进行左右肺静脉造影。依次进行左上、左下肺静脉冷冻消融:
继之进行右上、右下肺静脉冷冻消融:
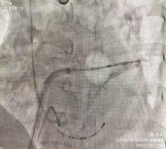
冷冻后验证肺静脉隔离完全。冷冻消融大约持续1小时顺利结束。继之进行左心耳封堵术。左心耳造影测量深度及基底部宽度:
根据造影结果,选择了匹配封堵器,并沿鞘管将封堵装置推送至左心耳内,在食道超声引导下精准定位符合”PASS”原则完成 Watchman 封堵器的释放。封堵后左心房造影显示未见明显残余漏,手术过程均非常顺利。
与单一采用房颤消融相比,接受房颤消融和左心耳封堵“一站式”手术的患者,术后抗凝药物仅需要服用 3 个月左右,此时即使有无症状的房颤复发,其发生卒中的可能性也与持续服用抗凝药物的风险相似,但长期服用抗凝药物带来的出血风险却显著降低。因此,采用房颤冷冻消融与左心耳封堵相结合的解决方案,对于卒中高危房颤患者是相对完善的一站式治疗方案。我院心血管病院引进开展的本院首次房颤冷冻消融+左心耳封堵“一站式”手术治疗房颤,将卒中和出血风险降到最低,提高了患者生活质量,改善了预后,减少了并发症,改善了患者术中的舒适度,这项新技术新业务的开展必将更好地造福广大房颤患者。
心血管病院冯占斌院长、心内一科袁博主任、心内二科高宇勤主任、张赞伟院长助理、赵伟副主任医师、马宏恩副主任医师、刘美林主治医师团队此次开展的房颤冷冻消融+左心耳“一站式”手术,术前得到了院领导的充分支持,并得到了介入导管室、超声医学科、麻醉科、CT/MRI室等兄弟科室的大力支持和积极配合。在我院医护人员精心治疗、护理下,目前三位患者恢复良好,康复出院。此次手术的成功,不仅仅是医疗技术的进步,更是我院各科室在院领导正确领导下精诚合作的成果结晶!
西安市第九医院心血管病院现开设5个病区、3个重症监护病房及心电图室,同时开设专科及专家门诊,病房开设床位192张;现有专业技术人员137人,高级职称16人、中级职称30人,博士4人,硕士34人。年收治住院患者7000余人次,年门诊量55000余人次。开设有心血管专家门诊和专科门诊。在长期临床实践中,对心力衰竭诊治、心律失常诊治、冠心病介入诊疗、永久搏器植入、高血压病及心血管临床药理等方面积累了丰富的临床经验。
冯占斌院长专家门诊时间:周五上午8:00-12:00
心内一科袁博主任专家门诊时间:周三早上8:-12:00 周五下午14:00-17:30
心内二科高宇勤主任专家门诊时间:周一上午8:00-12:00 周三下午14:00-17:00
心内三科 金龙主任专家门诊时间:周一早8:00-12:00 周四下午14:00-17:30
心内一科电话:61165765
心内二科电话:61166473
心内三科电话:61166351





