机器人“导航” 勇闯大脑手术禁区——九院神经外科一区成功开展机器人精准微创手术

发布日期:2025-06-11浏览:

近日,西安市第九医院神经外科一病区在主任刘展会、张西安带领下,成功开展机器人辅助下脑内血肿穿刺抽吸及外引流手术,这标志着我院神经外科手术治疗脑出血疾病方面迈入了智能、精准的“机器人”时代,精准化治疗助推学科发展,为广大患者提供更优的医疗保障。

-NEWS-

图片

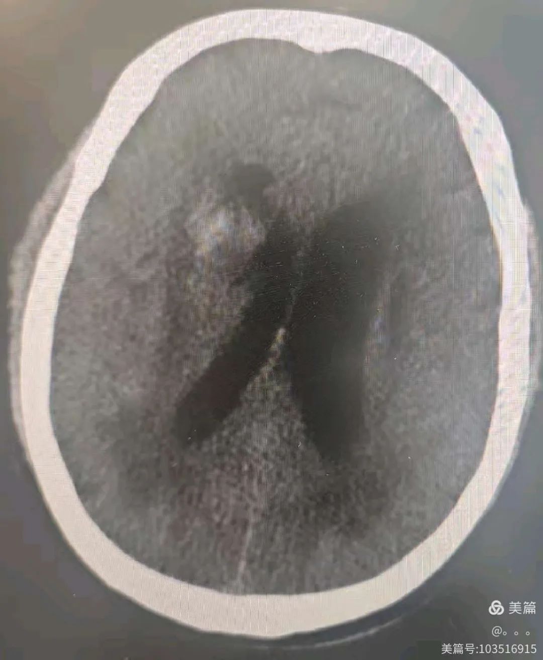
患者樊某,58岁,突发意识不清10小时就诊我院,急诊行CT见右侧基底节出血,破入脑室,右侧脑室前角严重变形。


图片

但是在机器人的精准定位导航下,一次性精准穿刺成功。


图片

术后一周复查血肿基本引流,大大缩短患者住院时间。


图片

患者郗某,70岁,突发意识不清2小时就诊我院,急诊行CT见右侧基底节出血,出血量约35ml,并破入脑室形成铸型,病情危重。脑组织受压变形,遂选择机器人精准微创穿刺治疗,同时穿刺脑室及血肿腔。


图片

术后复查CT可见引流管精准的置入了血肿腔及已经变形的脑室,


图片

一周后患者出血基本排出,恢复了意识。


图片

相比传统开颅手术和立体定向框架,神经外科手术机器人辅助下的微创颅内血肿穿刺抽吸外引流手术,是目前国内外专家共识优先推荐的一种科学、安全、疗效好的手术方式。

手术机器人系统可在术前准确定位血肿位置,可视化规划最佳手术路径,术中全程实时导航,使手术更加便捷、精准、微创、安全,显著降低手术相关并发症,更有益于患者术后恢复,在手术安全性、精准性、高效性、智能化等方面都胜于传统术式,同时具有微创、安全的特点。


图片

术前通过将患者CT数据导入导航机器人,进行路径规划,选择导管路径避开重要神经功能区及血管,同时达到血肿长轴且距离血肿最近的手术路径。进行面部注册、验证精准度(精度<0.5mm)、机器人引导下标定入颅点,颅骨钻孔后通过机器人自动定位手术路径并计算穿刺深度,穿刺、抽吸血肿,手术有条不紊地进行着,机器人精准地控制着置管的深度和角度,最终顺利完成引流管留置。


图片

脑出血病人血肿常压迫脑组织变形,在机器人引导下的精准微创手术可以精准,快速的将引流管穿刺到位。


图片

西安市第九医院神经外科一病区导航机器人手术的开展,标志着我院神经外科微创化、数字化、精准化的治疗迈出了坚实的一步,未来,我院神经外科一病区团队将持续探索和应用前沿医疗技术,造福更多患者。


图片

专家介绍

图片

张西安


主任医师

图片

神经外科一病区主任,毕业于西安交通大学医学院。任中华医学会市神经外科分会、陕西医师协会神经介入分会、陕西保健协会脊柱脊髓专委会委员。曾多次在国内知名神经外科中心进行显微操作、血管搭桥及颅底解剖培训,参加急性缺血性脑卒中患者血管内治疗及围手术期管理培训。

擅长急危神经外科重症患者的抢救、手术治疗。对脑血管病、功能神经外科、脑外伤及常见中枢神经系统肿瘤的诊断及手术治疗有丰富的临床经验。

图片




图片





上一篇:院校合作第二场——西安市第九医院“小丑医生”志愿者团队走进乐居场小学开展健康科普情景剧《战“痘”记》表演

下一篇:微创精准解病痛|我院骨科成熟开展CT引导下多节段颈椎间盘低温等离子射频消融术