近日,我院副院长赵朝、心血管病院院长冯占斌、心血管内科一病区主任袁博团队再次挑战冠心病介入治疗领域的“高峰”——成功为一名复杂左主干分叉病变患者实施介入手术治疗。
危机暗藏
命悬一线的左主干病变
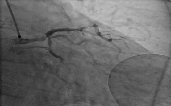
74岁的师先生(化名)怎么也没想到,近一周的胸闷气短,竟是心脏发出的严重警告,师先生的冠脉造影结果提示左主干分叉严重病变,狭窄程度85%-90%,这种情况犹如心脏供血的主干道发生严重堵塞,随时可能引发大面积心危及生命。

(术前造影图像)
迎难而上
多学科协作制定精准策略
我院心内科团队经过充分评估和术前讨论,团队最终决定为患者实施介入治疗。在副院长赵朝、心血管病院院长冯占斌、心血管内科一病区主任袁博的指导下,手术团队制定了周密的手术方案:采用血管内超声(IVUS)精准评估病变性质、备好血流动力学支持装置主动脉球囊反搏(IABP)、制定各种并发症应急预案。
精湛技艺
毫米之间的生命守护
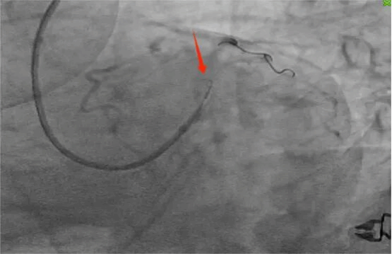
手术过程中,介入团队凭借丰富的经验和精湛的技术克服了一个又一个难关:
1. 导丝通过:精准将导丝送入罪犯血管;

(精准操作瞬间)
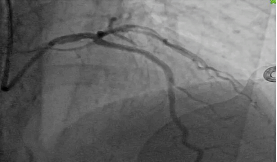
2. 支架植入:先后植入2枚药物洗脱支架;

(术后多角度造影图像)
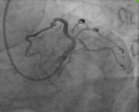
3. 对吻扩张:最终对吻球囊扩张,完美重建分叉部位血管解剖结构。

(术后多角度造影图像2)
整个手术历时4小时,术后IVUS确认支架贴壁良好,血流恢复理想,患者术后恢复顺利,次日即可下床活动,胸闷症状完全消失。

(术后IVUS评估支架贴壁良好)
对于患者而言,精准的术前评估,精湛的手术技巧,成熟的团队配合以及个体化的治疗方案,不仅体现的是医患之间的相互信任,更是在这场生命的十字路口,为其用现代医学点亮了通往健康的绿灯。

科室介绍
西安市第九医院心血管内科一病区拥有非常雄厚的技术基础和人才储备,现有医护人员35人,其中博士1人,硕士12人,专业高级人才5人。科室通过长期临床实践,在冠心病、高血压、心律失常、心力衰竭、晕厥、心源性休克、严重多脏器衰竭等各种疑难危重、罕见的心血管疾病等诊疗方面积累了丰富经验,对疑难病、急危重症病例能够做到迅速准确的诊断和积极有效的救治,尤其在冠脉介入诊疗、心律失常射频消融术、永久起搏器植入术、先天性心脏病封堵术等介入治疗领域达到了全省领先水平。整个技术团队工作能力强,能处理各种心血管系统的疑难杂症及急危重病种救治。科室开设病床60张,配备1个心脏重症监护室(共9张监护床位),配备有呼吸机(有创2台、无创4台)、除颤仪、心衰超滤仪等各类先进治疗设备。
专家门诊时间
