在呼吸系统疾病诊疗的道路上,每一份精准的病理报告,都是点亮患者希望的灯塔。西安市第九医院开展CT引导下经皮肺穿刺活检技术多年,如今再度创新,开展冷冻肺活检技术,以更微创、更高效的方式,为肺部结节及间质性肺病患者筑牢诊断防线。


深耕多年:经典穿刺技术的坚实根基
多年来,我院呼吸与危重症医学科团队凭借精湛的技术与严谨的态度,开展CT引导下经皮肺穿刺活检技术为肺外周结节样病变及间质性肺病的诊断提供了安全、可靠的方法。
• 精准定位:
依托医学影像设备,实时可视化引导穿刺针精准抵达病灶,避开血管、神经等重要结构。
• 经验沉淀:
历经多年的穿刺操作经验的积累,在肺部结节病变及间质性肺病等领域积累了丰富的临床经验,为无数患者明确了病理诊断。
• 安全保障:
严格遵循操作规范,全程监测患者生命体征,将并发症风险降至最低。





技术革新:冷冻肺活检开启诊断新篇
面对外周肺部结节及间质性肺病,传统穿刺活检有时难以获取足量组织。我院团队锐意进取,引入冷冻肺活检技术,实现了活检技术的再次升级:
• 更大组织块:
利用冷冻探针将病变组织“冷冻”取出,相比传统活检获取的组织量更大、结构更完整,为病理分析提供更丰富的样本。
• 更高诊断率:
完整的组织样本有效提升了肺部结节及间质性肺病的病理诊断阳性率,避免了因样本不足导致的重复检查。
• 同样微创安全:
在CT精准引导下,冷冻活检全程创伤极小,患者恢复快,并发症发生率与传统穿刺相当,兼顾了诊断效能与医疗安全。


临床瞬间:用匠心守护呼吸健康
从术前精准定位、术中精细操作,到术后病理分析,每一个环节都凝聚着九院医护团队的匠心与担当:
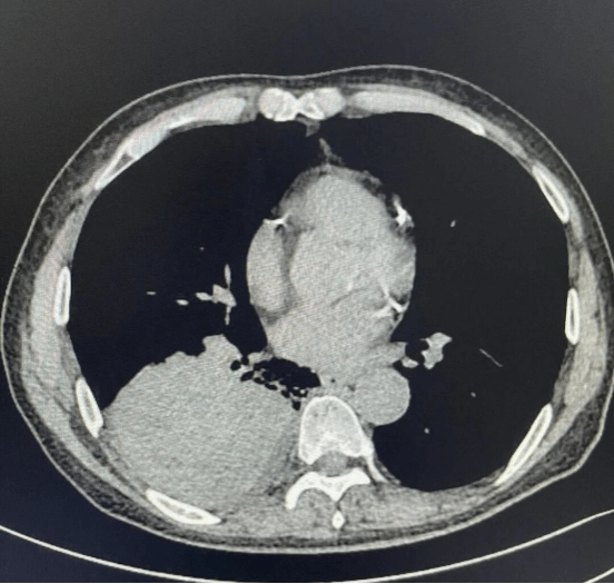
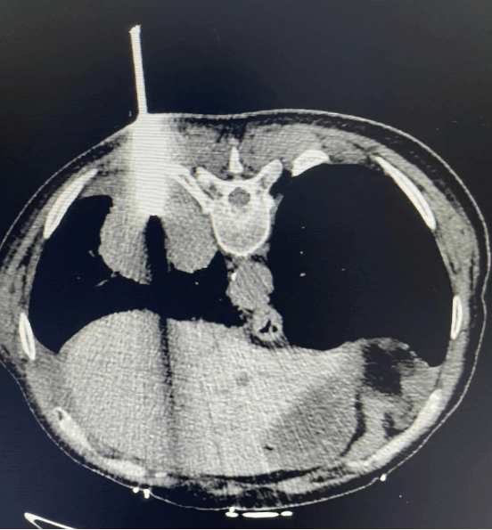
• CT室专家与呼吸团队紧密协作,精准定位,并准确调整穿刺角度,确保穿刺针精准命中病灶。
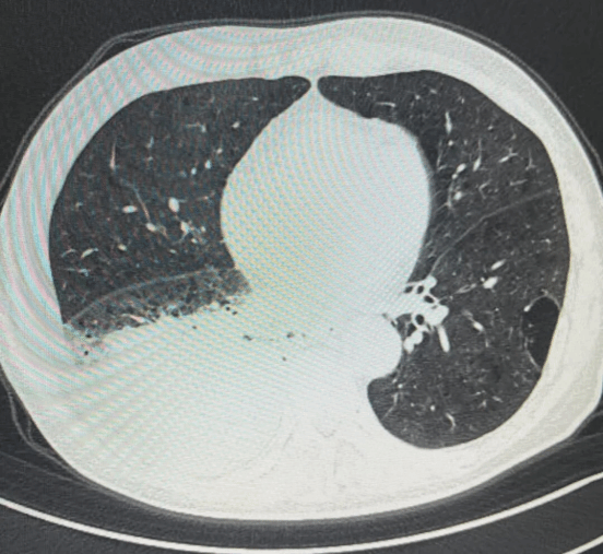
• 冷冻活检操作中,医护人员细致操作,将完整的病变组织顺利取出,为病理诊断提供坚实保障。
• 医学影像科与病理科高效联动,第一时间出具诊断报告,为患者后续治疗争取宝贵时间。
诊疗价值:为精准治疗奠定坚实基础
无论是多年沉淀的经典穿刺技术,还是创新升级的冷冻肺活检,西安市第九医院始终以患者为中心,用技术革新守护呼吸健康:
• 明确诊断:
精准获取病理结果,为肺部结节、间质性肺病等疾病提供“金标准”诊断依据。
• 指导治疗:
帮助临床医生制定个体化治疗方案,为手术、靶向治疗、免疫治疗等提供关键指导。
• 改善预后:
早诊断、早治疗,有效提升患者生存质量,为呼吸健康保驾护航。