-
2020-04-24西安市第九医院携手延长气田开展健康义诊活动
为积极响应我省号召,为我省企业复工复产加油助力,在持续做好疫情防控工作的同时,西安市第九医院医务科、血管介入科应延长气田采气三厂邀请,精心组织多学科专家组成... -
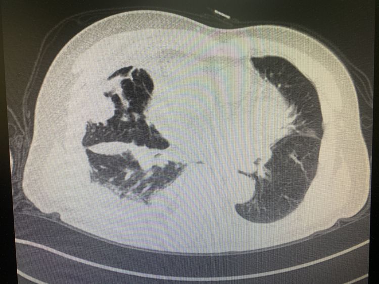
2020-04-10市九院老年病一科救治肺栓塞患者1例
75岁的患者王某,因胸闷、气短3天,发热1天入院在老年病一科接受治疗。患者持续端坐前倾位已有3天,且高度浮肿,由于对去医院治疗还存在顾虑,没有及时检查治疗。他既往... -
2020-04-10英雄归乡 西安市第九医院热烈欢迎4名战“疫”英雄回家
4月3日,西安市第九医院崔亚娟、封芬、张安娜、赵颖4名援鄂医疗队队员,在圆满完成武汉驰援任务后,正式结束在临潼为期14天的隔离,平安回“家”。 下午一时,党委书记... -
2020-04-10“医路漫漫,医技之长”—2020年西安市第九医院临床医生心肺复苏技能考核圆满结束
为进一步提高我院医务人员急救能力,3月25—3月27日由医务科及教学培训部组织,对全院临床医生进行心肺复苏操作考核。 此次考核得到院领导高度重视,陶梅副院长亲临现... -
2020-04-10
医学整形美容中心带你 远离腋臭 清凉一夏
腋臭俗称狐臭、臭汗症,是患者腋窝的顶泌汗腺分泌的汗液被细菌分解产生不饱和脂肪酸而散发出的特殊臭味。对患者身心健康、日常生活及工作造成影响,情况严重者会引起社... -
2020-03-25
市九院开展主题党日活动
3月12日,西安市第九医院机关第一、二党支部在行政1号会议室举办了一场特别的主题党日活动。本月的党日活动主题是“疫情防控筑堡垒,党徽闪光在岗位”,党委书记郑菊贤... -
2020-03-25西安市第九医院为爱心援助单位送锦旗表谢意
3月13日上午,西安市第九医院党委书记郑菊贤带队,党办、工会、宣传科相关工作人员一行5人,为在抗“疫”期间提供无偿接送我院医务人员上下班通勤服务做出努力的各方,... -
2020-03-11我院院长书记一行到蓝田县人民医院检查督导工作
-
2020-03-11做好本职不忘初心 让雷锋精神在心中闪耀
2020年的春天迈着轻柔的脚步缓缓而来,三月全国学雷锋日也如约而至,雷锋精神就像春风般吹拂着大地。3月5日,人们发现九院预检分检处忙碌的医护人员中,鲜艳的志愿者服... -
2020-03-11骨干带头上,让青春在抗疫一线飞扬
按照市卫健委工作安排,疫情防控后的1月28日,西安市第九医院接管了长安区某酒店作为新冠肺炎医学观察站。接到通知后该医院迅速调派相关科室骨干成立医学观察站工作组,...



