以为是普通感冒,结果却是肺部“发霉”了?
近日,36岁的李女士(化名)怎么也没想到,自己仅仅是打扫了一次卫生,竟差点引发一场危及生命的肺部危机。
发热咳嗽不见好,“元凶”竟是罕见真菌
一周前,李女士因无明显诱因出现发热、咳嗽、咳痰,自行服药后症状不见好转,来到西安市第九医院呼吸与危重症医学科就诊。这一查不要紧,胸部CT显示:左肺上叶及中叶多发高密度影! 这样的影像学表现绝非普通感冒那么简单。

入院时胸部CT,左肺上叶及中叶多发高密度影
面对复杂的肺部感染,我院呼吸科团队当机立断,为李女士进行了气管镜检查。通过支气管肺泡灌洗液的基因测序(NGS),一个意想不到的病原体浮出水面——新型隐球菌。
不放过任何疑点:脑膜炎?
隐球菌是一种广泛存在于土壤、鸽粪及腐败树木中的真菌,尤其是在潮湿、发霉的环境(如下水道、老旧小区)中极易滋生。得到NGS结果后,我们立即为李女士进行了灌洗液涂片检查,果然见到了真菌孢子;血液标本隐球菌荚膜抗原检测也提示阳性。至此,隐球菌肺炎的诊断确立,及时给予抗真菌治疗。


然而,对于呼吸科医生来说,诊断肺隐球菌病只是第一步。隐球菌有一个极其凶险的特点:嗜神经性,极易突破血脑屏障,引发隐球菌性脑膜炎,致死率和致残率都非常高。就在抗真菌治疗起效、李女士体温逐渐下降时,她突然出现了剧烈头痛!
这立即引起了我们的高度警惕。虽然患者肺部感染有所好转,但我们丝毫不敢放松对中枢神经系统感染的排查。呼吸科团队紧急联系影像科、检验科,为李女士安排了头颅核磁共振和腰椎穿刺检查。万幸的是,检查结果回报:头颅核磁未见明显异常,脑脊液隐球菌荚膜抗原:阴性,脑脊液NGS:未见隐球菌序列。
这意味着,真菌尚未侵犯大脑!我们成功抢在了病情恶化之前,筑起了防线。
追根溯源:竟源于一次“清理下水道”
确诊后,我们再次追问李女士的生活细节,她回忆道:“发病前我确实清理过家里的下水道,那几天工作累,抵抗力差,没想到这就中招了。”
至此,病因真相大白:清理下水道时吸入含有真菌孢子的气溶胶 + 免疫力低下 = 隐球菌感染。
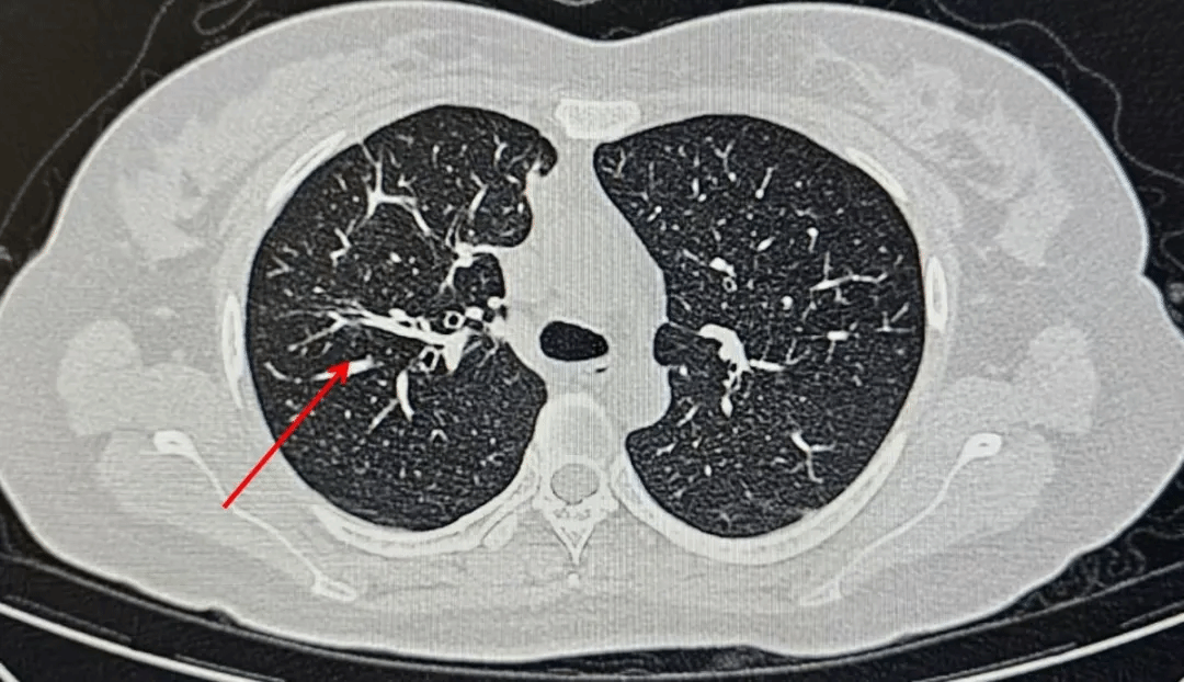
经过一段时间的规范抗真菌治疗,李女士的病情显著好转,复查胸部CT显示病灶明显吸收。目前李女士已出院,只需口服抗真菌药物并定期来门诊复查即可。

呼吸与危重症医学科提醒您
1.环境中的隐患:隐球菌并非遥不可及,它就潜伏在旧土、鸽粪、发霉的墙壁以及潮湿的下水道中。在清理这些场所时,建议佩戴口罩、手套,避免直接吸入病原体。
2.警惕不明肺炎:若出现长期发热、咳嗽,且普通抗生素治疗无效,需警惕真菌感染的可能。气管镜、NGS、隐球菌抗原检测是诊断的金标准。
3.全面排查不留死角:隐球菌肺炎最怕的就是漏掉“脑膜炎”。即使肺部好转,一旦出现头痛、呕吐等症状,必须立即排查中枢神经系统。