2026年1月4日,西安市新城区太华路纱厂东街社区卫生服务站医务人员进行了一场与时间赛跑的生命接力。早上9点一名患者前来纱厂东街社区卫生服务站就诊,患者自诉胸闷、头晕伴发冷6小时余,自认为“发热”,接诊医生贾燕娥凭借丰富的临床经验敏锐察觉异常,急查心电图,雒静、林鸿涛、贾燕娥3名医生快速进行分析,判断为“急性前壁心肌梗死”。
因急性前壁心肌梗死是冠状动脉左前降支发生急性闭塞导致前壁心肌缺血坏死的危重疾病,属于ST段抬高型心肌梗死(STEMI)的常见类型,需立即开通血管(如溶栓或介入手术)以挽救心肌,且死亡率极高。
迅速联系西安市第九医院心血管病院一区袁博主任申请开通绿色通道,同时呼叫120急救车辆,家属本欲带患者自行前往医院,积极与家属进行沟通告知病情的危急、危险程度。田胜洲药师积极准备急救药品,在等待120急救车期间,在袁博主任的指导下,为患者第一时间给于阿司匹林肠溶片300mg及硫酸氢氯吡格雷片600mg负荷量口服,防止血栓形成并为PCI术前做好准备。
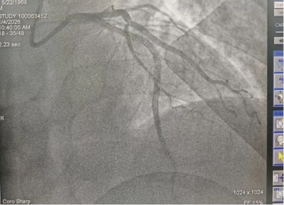
在120急救车医护人员的密切监护转运下,患者顺利转入西安市第九医院手术室,西安市第九医院介入医师团队提前做好术前准备,接到患者后立即为患者进行冠状动脉造影,PCI术中显示:“前降支闭塞”,成功植入支架一枚,堵塞的血管得以重新通畅,送患者至西安市第九医院,120急救车9:43到达该院大门时心内科会诊医生已提前在大门口等待,到院后绕行急诊科、CCU,第一时间直达介入导管室,心内介入手术团队接到患者后立即为患者进行急诊冠脉造影显示:冠脉多支多段重度病变,LAD近端完全闭塞,10:16导丝顺利通过,药物支架1枚干预LAD近端病变,D2W时间33分钟。
患者转危为安,患者年迈的父母当日下午亲自来西安市新城区太华路纱厂东街社区卫生服务站表示感谢,该患者已于近日由西安市第九医院出院。出院后雒静医生进行社区随访2次,患者目前状态良好,嘱按时服药,定期复查。

图为患者发病时急查的心电图


图为患者介入手术前后的心脏造影
此次成功救治,得益于纱厂东街社区卫生服务站的快速判断、呼叫120急救车转运和西安市第九医院高效的绿色通道以及心血管病院一区医师团队的精准救治,及时挽救了患者的生命,也体现了社区卫生服务站与三级甲等综合医院之间的密切合作,上下联动,为患者提供了及时的转运和救治,确保了患者的生命安全,彰显了社区医生扎实的专业素养和对生命高度负责的职业精神,我们社区卫生服务站医务人员将继续提升应急救治能力,和三级甲等医院保持密切联系,为辖区居民生命健康保驾护航。