-
2025-10-14喜讯:西安市第九医院荣耀入选国家标准化代谢性疾病管理中心MMC体重管理项目首批成...
近日,国家标准化代谢性疾病管理中心(MMC)体重管理首批医院启动仪式盛大开幕。西安市第九医院内分泌科体重管理门诊凭借卓越的临床实践成效与专业的服务能力,在全国众... -
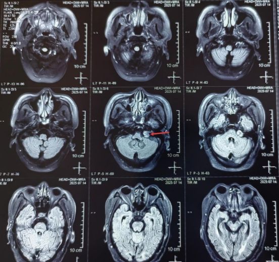
2025-09-30除病灶,保功能!我院神经外科二病区郭清保主任团队成功切除桥小脑角区占位性病变
68岁李大爷(化名),平时有高血压、脑萎缩、腔隙性脑梗死、冠心病等慢性病史,6年前还有过脑出血。近期,因较长时间的走路不稳、耳鸣,多次摔倒,家属陪伴至医院就诊。... -
2025-09-30给宝贝最坚实的起跑线!——我院儿童保健门诊暖心开诊啦!
我们提供的服务项目有✔️体格生长的监测与评估;✔️营养与科学喂养指导 ;✔️神经心理行为发育筛查与评估;✔️孤独症、注意缺陷多动障碍、语言发育迟缓等神经心理发... -
2025-09-29
“两癌筛查” | 我院作为市级初筛及转诊机构,全力保障适龄妇女免费“两癌”筛查
根据西安市卫生健康委员会统一部署,我院(西安市第九医院)已被正式列为城乡适龄妇女免费“两癌”筛查初筛及转诊机构。我们深知,“初筛及转诊机构”不仅是一份荣誉,... -
2025-09-25多学科协作 合力托起生命之光——普通外科一例重症胰腺炎伴重症肺炎的MDT护理查房
近日,由护理部组织、普通外科主导的多学科协作(MDT)护理查房在综合楼12层示教室顺利举行。本次查房以“一例重症胰腺炎合并重症肺炎患者的MDT护理”为主题,旨在通过... -
2025-09-23第八届中国痤疮周“全程战痘,科学愈肤”义诊圆满落幕
近日,我院皮肤科开展的“痤疮周”义诊活动圆满落下帷幕。此次义诊以“全程战痘,科学愈肤”为主题,为广大群众提供了专业的痤疮防治服务。义诊是关怀从诊室延伸至巷陌... -
2025-09-23“全科看什么”!你的健康守门人就藏在这里!
一、全科医生能为你做什么?3件事解决80%日常健康问题1. 做“首诊首选”:比如反复头晕不知道是血压高还是脑血管病、发烧不知道是普通感冒还是流感、反复胃痛分不清是胃... -
2025-09-22早防早治,守护认知——神经内科举办阿尔茨海默病健康宣教会
9月21日为世界阿尔茨海默病日。今年的活动主题是“早防早治,守护认知”。在第32个阿尔茨海默病日到来之际,我院神经内科一病区、二病区举办了患者宣教会,以期提高公众... -
2025-09-20减糖控体重 护牙促健康——9.20“全国爱牙日”
-
2025-09-20门诊服务能力再升级:专家门诊开启“全天候”模式
早上看的专家号下午检查结果出来了找谁看治疗方案找谁定?这些在看病过程中常遇到的现实难题,让患者既焦虑又无奈......针对这些痛点,西安市第九医院门诊服务再升级—...



