-
2023-07-26陕西省内分泌糖尿病护理专科联盟授予我单位内分泌科副理事长单位
2023年7月22日,由陕?省保健学会糖尿病专业委员会、?安交通大学第一 附 属 医 院 联 合 主 办 , 陕 ? 省 内 分 泌 糖 尿 病 护 理 专科 联 盟 , ?安交通大学第一附属... -
2023-07-24健康科普 ︳误吸小常识
老年人因为咀嚼、吞咽功能下降,常易发生误吸,即在进食时发生呛咳,严重者误入气道引起误吸。一旦发生误吸,甚至反复误吸,极易引发吸入性肺炎。 1.误吸的... -
2023-07-22科普知识 ︳胃食管反流
相信很多人都有过反酸、烧心的经历,吃完饱饭躺下休息后感觉嘴里反酸水,胸骨后面热辣辣的。 大多数反酸、烧心是由胃食管反流病引起的。胃食管反流病是指胃内容物反... -
2023-07-22西安市第九医院2023年度住培工作第三次会议顺利召开
西安市第九医院2023年度住培工作第三次会议顺利召开 为持续推进我院住院医师规范化培训高质量发展,加强住培工作内涵建设,2023年7月20日下午,我院在302室召开2023年... -
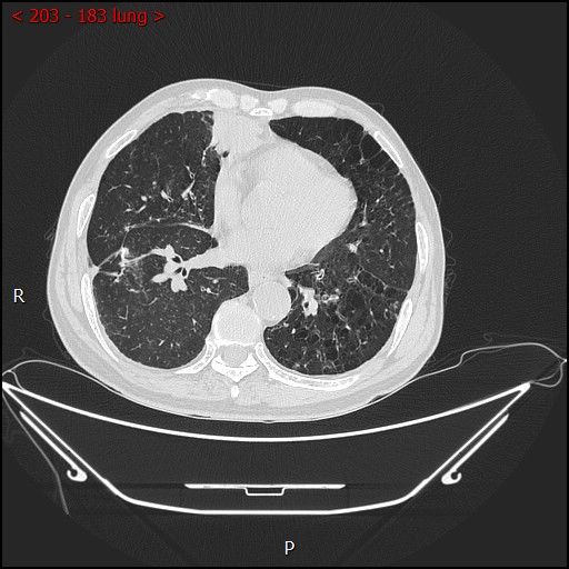
2023-07-22不开刀杀肿瘤:血管介入科开展首例CT引导下肺恶性肿瘤射频消融术
2023年7月18日血管介入科完成首例CT引导下肺恶性肿瘤射频消融术。该手术不用开刀,皮肤仅有针眼大小的穿刺针孔,术后反应轻微,恢复快,住院时间短,且与外科手术切除疗... -
2023-07-20科普知识 ︳浅谈“肺纹理增多”
近日,不少人出现咽喉疼痛、发热的症状,遂来医院就诊,医生通常会先让患者拍个胸片,很多患者在看到检查报告单上“肺纹理增多”的描述后常常疑惑不已,“我的肺到底有... -
2023-07-19健康指南 ︳医学影像检查之攻略
刘奶奶最近感觉身体不太舒服,想去医院做个系统全面体检,听说咱们九院检查设备先进,就想着把所有影像检查统统做一遍,这样她才能放心,可是医院的医学影像仪器那么多... -
2023-07-19科普知识 ︳ 糖友们夏季应注意的8个小细节(二)
夏季的到来,气温升高对糖尿病人的饮食、运动以及生活规律或多或少会造成一些影响,因为夏季天气炎热,可能影响病人的饮食和睡眠,既而影响对血糖的控制。所以对糖尿病... -
2023-07-18关爱职工 夏送清凉
为了进一步做好夏季高温期间劳动保护和防暑降温工作,按照院党委的安排,7月14日上午院工会组织开展了为全院职工“送清凉” 慰问活动,此次送清凉慰问活动共慰问1600余... -
2023-07-18科普知识 ︳ 糖友们夏季应注意的8个小细节(一)
夏季的到来,气温升高对糖尿病人的饮食、运动以及生活规律或多或少会造成一些影响,因为夏季天气炎热,可能影响病人的饮食和睡眠,既而影响对血糖的控制。所以对糖尿病...



