-
2023-05-17【典型病例】摔倒了可不一定就是外伤,小心“炸弹”来袭
神经外科值班医生王振华接到急诊电话,送来一位前一天摔倒,4小时前出现意识障碍的病人。通过询问病史,患者前一天有过自行摔倒,头部没有直接受到撞击,没有明显的头皮... -
2023-05-17【文化生活】“展风采 正青春”——西安市第九医院2023年春季运动会圆满结束
为了丰富学生课余文化生活,教学培训部在铁永坊篮球场举办了2023年春季运动会。参加本次运动会的有西安医学院临床本科班及延安大学影像本科班全体学生、部分教师代表、... -
2023-05-16【图片新闻】西安市第九医院进社区开展义诊活动
走进鑫龙天然居社区 西安市第九医院胸痛中心、护理健康教育小组走进鑫龙天然居社区健康教育及义诊活动,为前来的居民们进行现场讲解,并进行心肺复苏现场演练。在演练... -
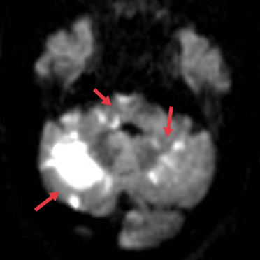
2023-05-16【医疗技术】神内卒中团队开通基底动脉1例
4月26日,10:47分:59岁男性王某,以“意识障碍40分钟”入我院,专科查体可见患者呈昏睡状态,反应迟钝,吐字不清,双眼向右凝视,四肢肌力5-级,NIHSS评分7分。 卒中... -
2023-05-15
【感谢信】言短情长--写给老年病一科的一封感谢信
老年病一科收到了一份特殊的礼物——封来自患者家属的感谢信,简单的话语,既是对老年病一科全体医护人员工作的肯定,更是架起了一座医患连心桥。 一天早上,下着雨,... -
2023-05-06主题教育】西安市第九医院举办学习贯彻习近平新时代中国特色社会主义思想主题教育...
为持续深化学习贯彻习近平新时代中国特色社会主义思想主题教育,2023年5月6日,西安市第九医院在教培部302室举办学习贯彻习近平新时代中国特色社会主义思想主题教育读书... -
2023-05-06【主题教育】西安市第九医院召开学习贯彻习近平新时代中国特色社会主义思想主题教...
5月5日至6日,按照委党委关于深入学习贯彻习近平新时代中国特色社会主义思想主题教育相关要求,西安市第九医院在教培部302室召开主题教育系列座谈会,通过硕士博士座谈... -
2023-04-27【廉政谈话】西安市第九医院召开新任中层岗前廉政谈话及考试会
为贯彻落实全面从严治党主体责任,提高新任中层干部廉洁从政意识,促进履职尽责,营造风清气正的干事创业环境,4月24日上午,西安市第九医院对新任中层干部进行了岗前廉... -
2023-04-27【图片新闻】妇产科、ICU积极响应“专科护理理论知识提升月”活动
用理论武装头脑,用实践丰满羽翼。为夯实专科护理理论知识,提高护理人员的专科能力及综合素质,有效提升护理工作效率和质量。西安市第九医院护理部开展了“专科护理理... -
2023-04-25【主题教育】西安市第九医院召开学习贯彻习近平新时代中国特色社会主义思想主题教...
4月24日下午,西安市第九医院召开学习贯彻习近平新时代中国特色社会主义思想主题教育动员大会,会议由院长冯占伟主持,院领导班子成员、党委委员及全体中层参加。 ...



